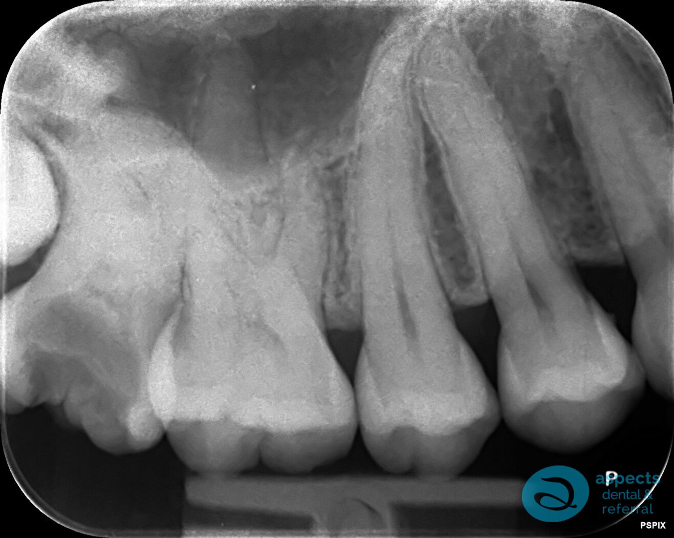
Our Dental Patient presented with a grossly carious tooth exhibiting severely curved roots and in close proximity to the adjacent third molar. Due to the complexity of the root anatomy and position, a surgical tooth extraction was indicated.
A minor surgical procedure was performed to remove the tooth using a minimally traumatic technique. All root apices were successfully retrieved intact, and care was taken to preserve the surrounding bone and soft tissues. The procedure was completed without complications.
If you’re looking for a Tooth Extraction, please either Book Online a Dentist Appointment or Contact Aspects Dental in Milton Keynes on 01908 506199 and our friendly team will be happy to help to you. Alternatively, you can Request A Call Back and we’ll get back to you.

Before Surgical Tooth Extraction Xray

After Surgical Tooth Extraction Xray















