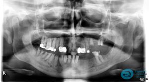
Before Implant-Retained Overdentures Xray – Dental Implants Milton Keynes – Aspects Dental Case Study 19