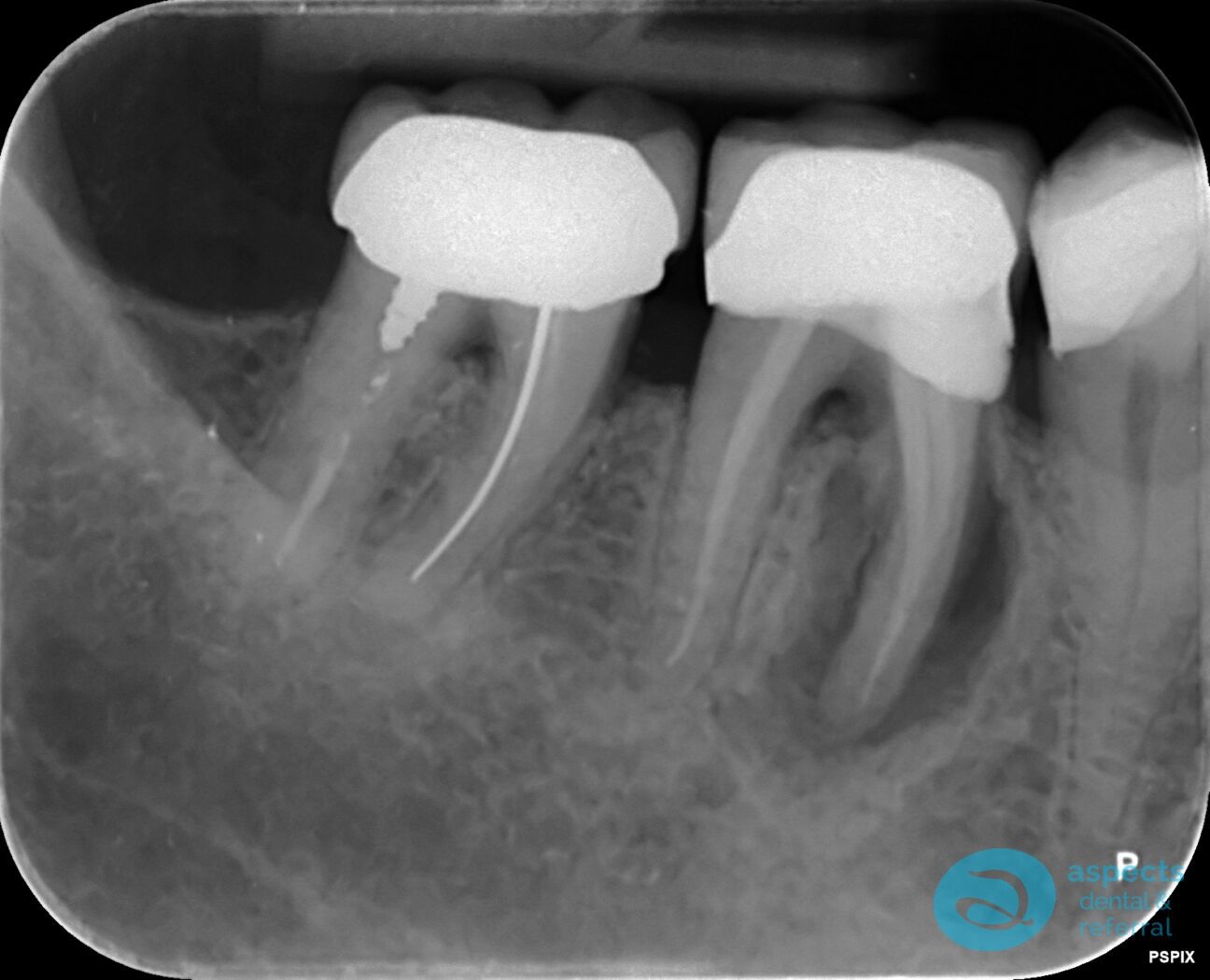
Our Dental Patient presented with a previously Root Canal Treated Molar that was failing due to persistent infection and structural compromise. After clinical and radiographic assessment, the tooth was deemed non-restorable.
The tooth was extracted carefully, and following site preparation, a Dental Implant was placed in the extraction site. After an appropriate healing and osseointegration period, the implant was successfully restored with a definitive prosthesis, restoring function and aesthetics.
If you’re looking for Permanent Dental Implants, please either Book Online an Dental Implant Consultation or Contact Aspects Dental in Milton Keynes on 01908 506199 and our friendly team will be happy to help to you. Alternatively, you can Request A Call Back and we’ll get back to you.

Before Tooth Extraction & Dental Implant Xray

After Dental Implant Xray















