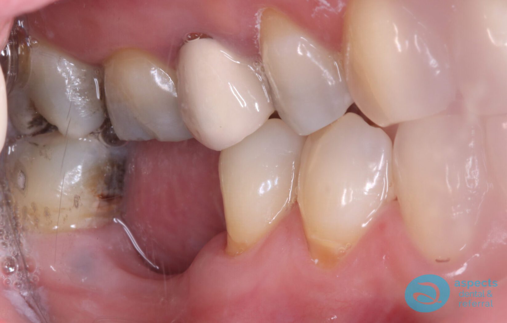
Our Dental Patient presented with a failing Root Canal-Treated Tooth with recurrent infection. Due to the persistent infection and poor prognosis, the tooth was extracted.
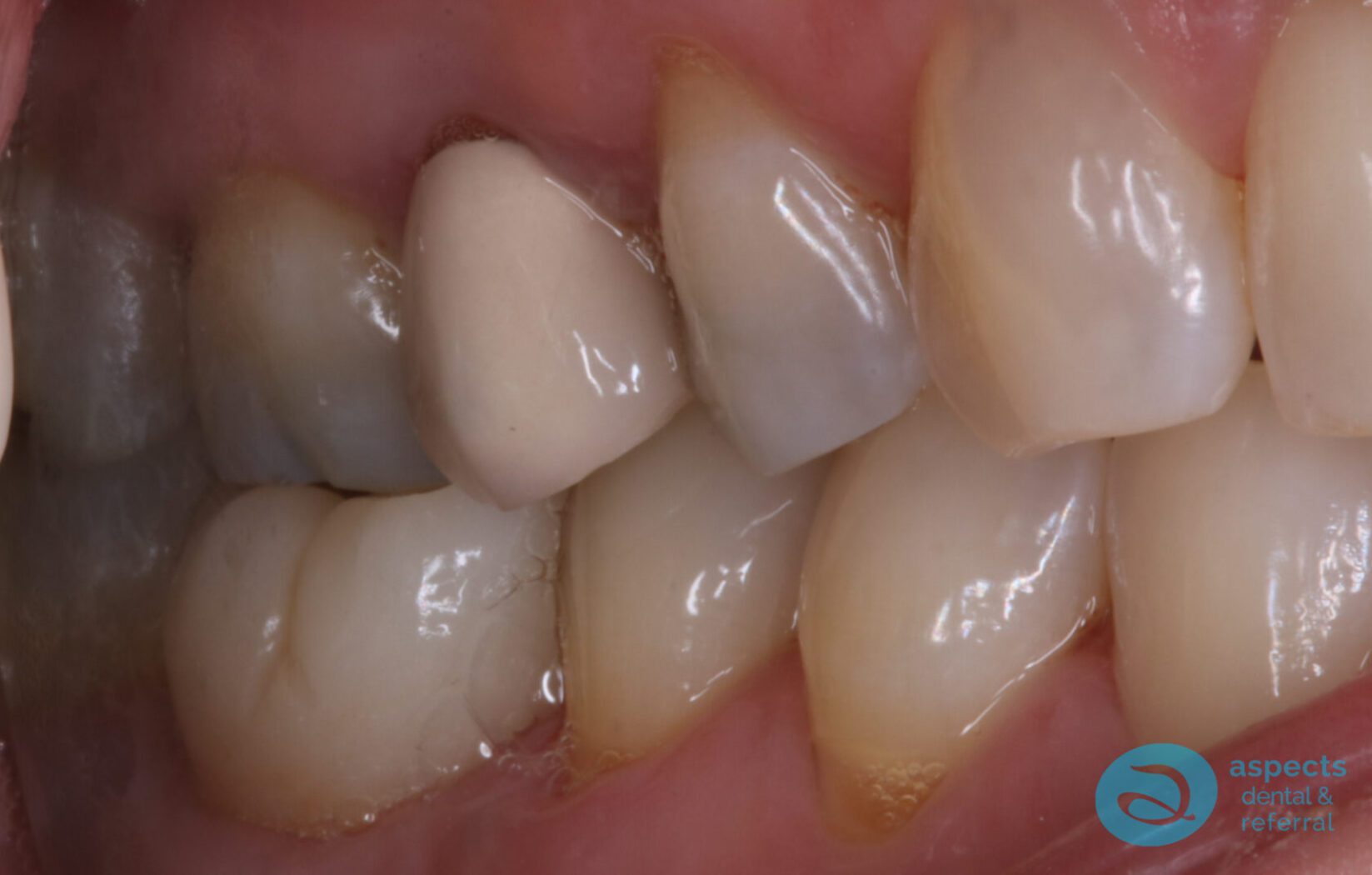
After a 12-week healing period, a Dental Implant was successfully placed at the extraction site. Following adequate osseointegration and soft tissue healing, the implant was restored with an all-ceramic zirconia crown, achieving both functional stability and aesthetic restoration.
If you’re looking for Permanent Dental Implants, please either Book Online an Dental Implant Consultation or Contact Aspects Dental in Milton Keynes on 01908 506199 and our friendly team will be happy to help to you. Alternatively, you can Request A Call Back and we’ll get back to you.

Before Dental Implant Photo

After Dental Implant Photo

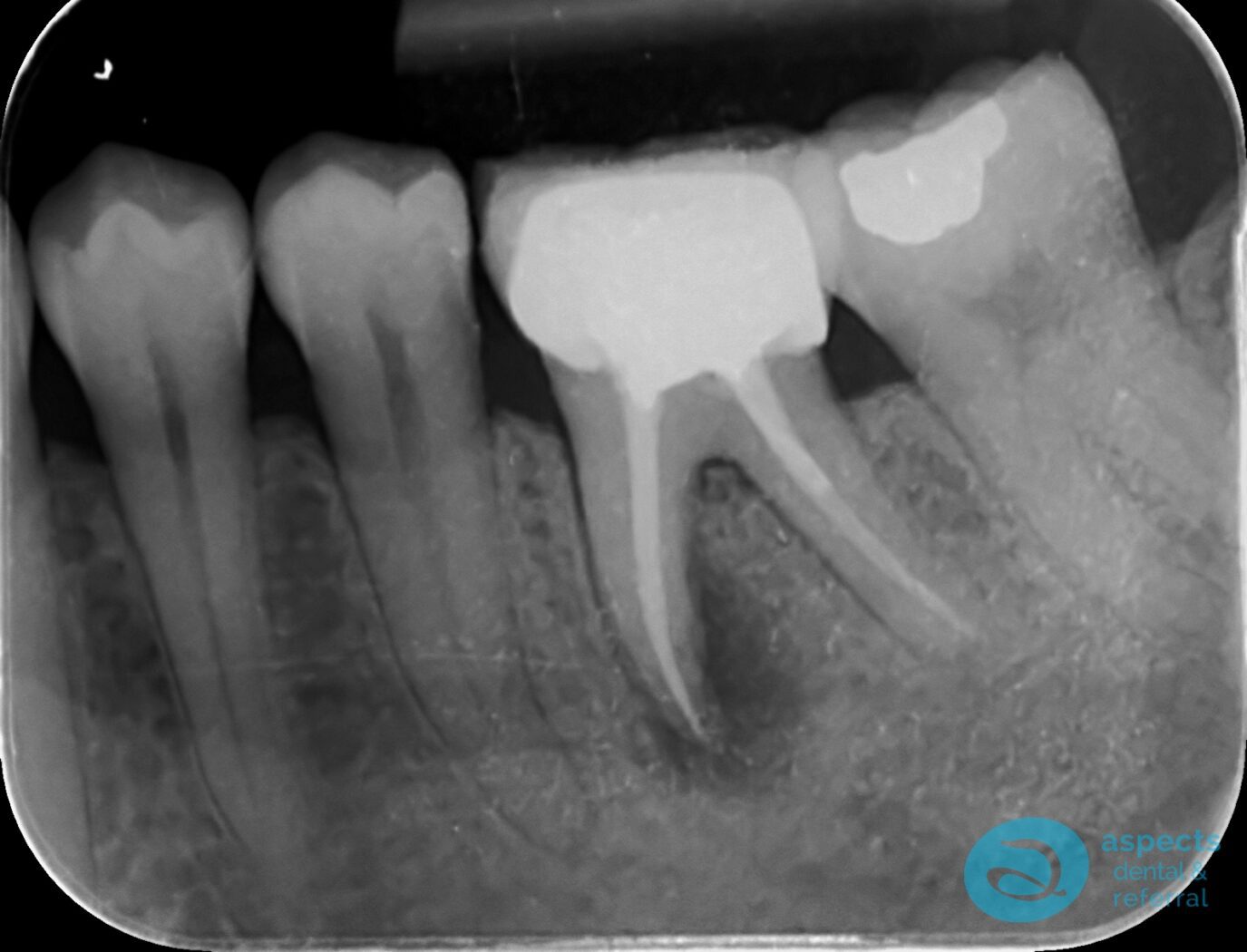
Before Tooth Extraction & Dental Implant Xray

After Dental Implant Xray















