Book Appointment Online
Call
01908 506 199
Opening Hours
Menu
Treatments
Emergency Dentist
Teeth Straightening Braces
Adult Braces
Children’s and Kids Braces
Invisalign Braces
Specialist Orthodontist
Dental Implants
Dental Hygienist & Gum Disease Treatments
Periodontist
Teeth Whitening
Dental Veneers
Root Canal Treatment
Dentures
Crowns & Bridges
White Fillings
Composite Bonding
Anti Snoring Solutions
Free Online Consultation
Book Online
Fees
Monthly Plans
Adult
Children
Finance
New Patients
Nervous Patients
Self Referral
Free Online Consultation
For Dentists
Referral Services
Referral Fee Guide
Online Referral Form
Download Referral Form
Cone Beam CT Scan
Online CBCT Referral Form
Download CBCT Referral Form
About
About Aspects Dental
Aspects Dental Team
Dental Jobs At Aspects Dental
Aspects Dental Practice Gallery
Dentistry Before And After Gallery
Dental News From Aspects Dental
Video Dental Testimonials
Dental Testimonials
Contact
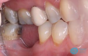
Before Dental Implant Photo – Dental Implants Milton Keynes – Aspects Dental Case Study 23
Top
Book Online
Book A Dentist Appointment Online
Book Now
Treatments
▼
Emergency Dentist
Teeth Straightening Braces
Adult Braces
Children’s and Kids Braces
Invisalign Braces
Specialist Orthodontist
Dental Implants
Dental Hygienist & Gum Disease Treatments
Periodontist
Teeth Whitening
Dental Veneers
Root Canal Treatment
Dentures
Crowns & Bridges
White Fillings
Composite Bonding
Anti Snoring Solutions
Free Online Consultation
Book Online
Fees
Monthly Plans
▼
Adult
Children
Finance
New Patients
▼
Nervous Patients
Self Referral
Free Online Consultation
For Dentists
▼
Referral Services
Referral Fee Guide
Online Referral Form
Download Referral Form
Cone Beam CT Scan
Online CBCT Referral Form
Download CBCT Referral Form
About
▼
About Aspects Dental
Aspects Dental Team
Dental Jobs At Aspects Dental
Aspects Dental Practice Gallery
Dentistry Before And After Gallery
Dental News From Aspects Dental
Video Dental Testimonials
Dental Testimonials
Contact