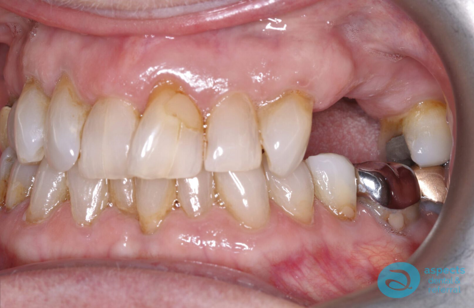
This Dental Patient came to us feeling self-conscious about her smile due to missing premolars. Our Dental Team created a tailored treatment plan, placing two Dental Implants followed by a beautifully crafted Dental Bridge to restore both function and confidence.
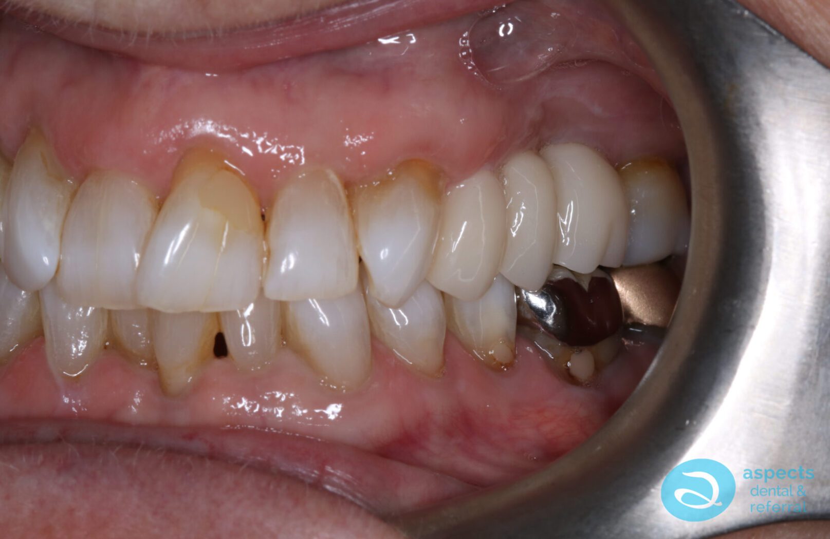
Now she can smile, eat, and laugh comfortably again and the transformation speaks for itself. If you’re looking for Permanent Dental Implants, please either Book Online an Dental Implant Consultation or Contact Aspects Dental in Milton Keynes on 01908 506199.

Before Dental Implants & Bridge Photo

After Dental Implants & Bridge Photo

Before Dental Implants & Bridge Photo

After Dental Implants & Bridge Photo















