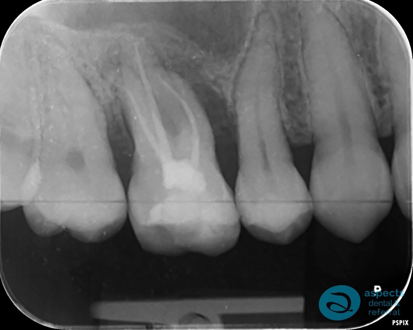
Our Dental Patient presented with a failing Root Canal Treated Tooth, with clinical and radiographic findings indicating an underlying crack. The tooth roots were in close proximity to the maxillary sinus, and significant bone loss was noted in the area.
Following extraction, a sinus lift procedure was performed to augment the deficient bone volume and create adequate support for future Dental Implant Placement. After a successful healing period and radiographic confirmation of graft integration, a dental implant was placed in the augmented site.
The dental implant was later restored with an all-ceramic Dental Crown, achieving optimal function and aesthetics. If you’re looking for Permanent Dental Implants, please either Book Online an Dental Implant Consultation or Contact Aspects Dental in Milton Keynes on 01908 506199 and our friendly team will be happy to help to you.

Before Tooth Extraction & Dental Implant Xray

After Dental Implant Xray















