At Aspects Dental in Milton Keynes, our experienced Private Dentists recently completed a complex surgical tooth extraction for a patient presenting with a severely damaged and decayed tooth.
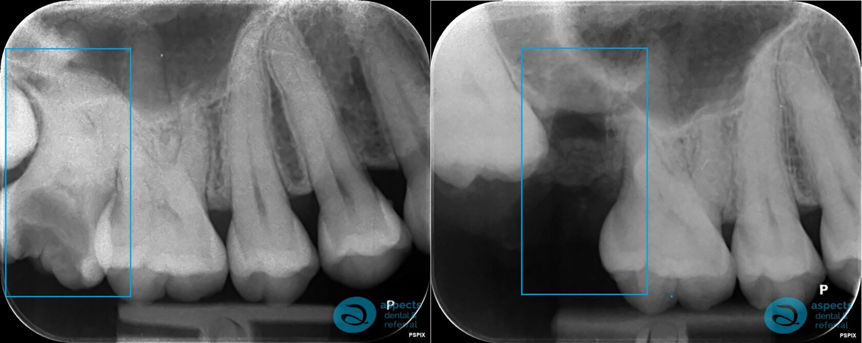
The affected tooth was grossly carious, featuring severely curved roots and lying in close proximity to the adjacent third molar (wisdom tooth). Due to the complexity of the root anatomy and positioning, a surgical extraction was indicated rather than a routine removal.
What Is A Surgical Tooth Extraction?
A surgical tooth extraction is a minor oral surgery performed when a tooth cannot be easily removed through standard extraction methods — often because it is broken below the gum line, impacted, or has complex root structures.
In this particular case, our Milton Keynes Dentist performed a minimally traumatic surgical technique, carefully removing all root apices intact while preserving the surrounding bone and soft tissues.
The procedure was completed smoothly and without complications, and the patient recovered comfortably following aftercare advice.
Why Might You Need a Surgical Tooth Extraction?
You may require a surgical extraction if you have:
-
A tooth that has broken or fractured below the gum line
-
A tooth with curved or complex roots
-
A tooth that’s impacted or partially erupted (often wisdom teeth)
-
Severe decay or infection that prevents normal extraction
-
A tooth located close to sinus cavities or nerves
At Aspects Dental, our experienced Dental Team uses advanced imaging and gentle surgical techniques to ensure your treatment is safe, efficient, and as comfortable as possible.
Emergency Extractions In Milton Keynes & Nearby Areas
If you’re experiencing severe tooth pain, swelling, or infection, you may need an emergency tooth extraction.
Our Emergency Dentists in Milton Keynes are available to provide same-day appointments and urgent dental care for patients across the region.
If you suspect you may need a tooth extraction — whether routine or surgical — our highly skilled team can help diagnose and treat the issue promptly.
To Book an Emergency Dentist Appointment, please either Book Online or Contact Aspects Dental on 01908 506199 — our friendly reception team will be happy to help.
We’re here to help patients across Milton Keynes, Northampton, Leighton Buzzard, Towcester, Buckingham, Newport Pagnell, Flitwick, Bedford, Bletchley, Ampthill, Aylesbury, Dunstable, Kempston, Brackley, Winslow, Woburn, Wellingborough and surrounding areas with expert Tooth Extraction and Emergency Dental Services.
















