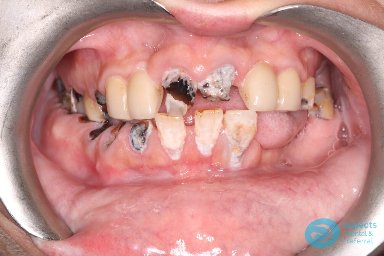
Our Dental Patient initially presented with neglected dentition, with the majority of teeth deemed non-restorable due to extensive decay and/or Periodontal Disease. Comprehensive treatment planning was carried out, and it was determined that full-mouth extractions were necessary.
All remaining teeth were extracted, and Immediate Complete Dentures were delivered on the same day to maintain function and aesthetics during the healing phase.
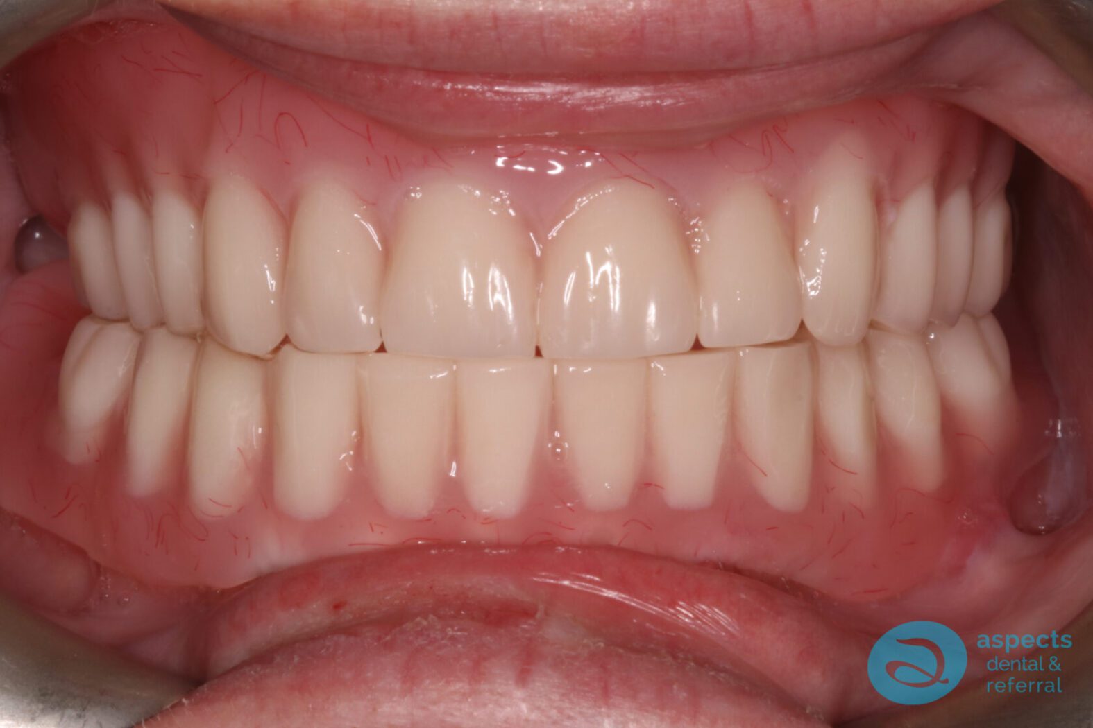
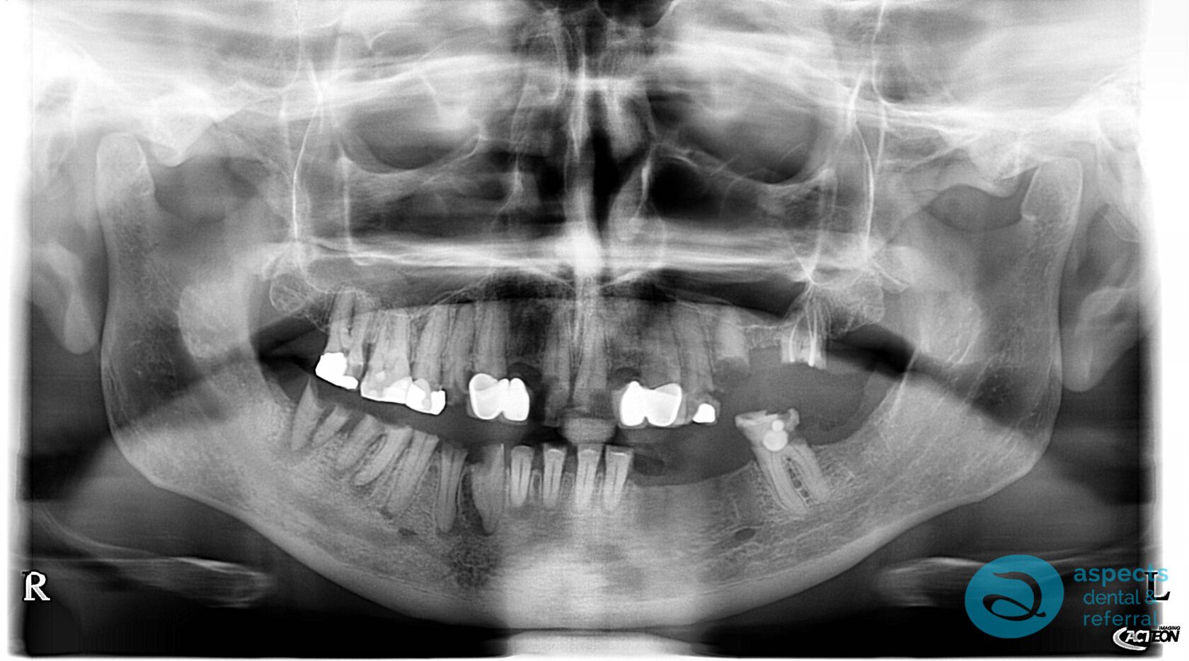
Following an appropriate healing period to allow for soft tissue and bone stabilization, Dental Implants were placed in both the maxilla and mandible. After successful osseointegration, implant-retained overdentures were fabricated and delivered, significantly improving prosthetic stability, function, and patient satisfaction.
If you’re looking for Implant-Retained Overdentures, please either Book Online an Dental Implant Consultation or Contact Aspects Dental in Milton Keynes on 01908 506199 and our friendly team will be happy to help to you. Alternatively, you can Request A Call Back and we’ll get back to you.

Before Implant-Retained Overdentures Photo

After Implant-Retained Overdentures Photo

Before Implant-Retained Overdentures Xray

After Implant-Retained Overdentures Xray















