Our Dental Patient presented with a failing long-term Dental Crown and significant loss of tooth structure, rendering the tooth non-restorable. The tooth was subsequently extracted.
After a healing period of 12 weeks, a Dental Implant was successfully placed at the extraction site. Following appropriate osseointegration and healing, the implant was restored with an all-ceramic zirconia crown, providing both functional and aesthetic rehabilitation.
If you’re looking for Permanent Dental Implants, please either Book Online an Dental Implant Consultation or Contact Aspects Dental in Milton Keynes on 01908 506199 and our friendly team will be happy to help to you. Alternatively, you can Request A Call Back and we’ll get back to you.

Failing Dental Crown & Tooth Loss

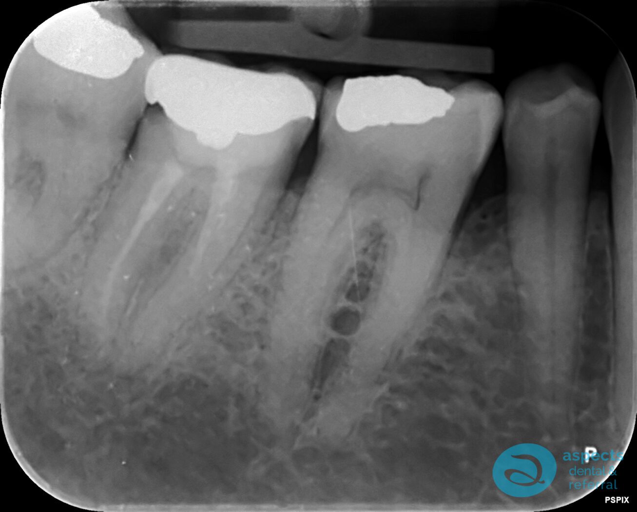
Before Tooth Extraction & Dental Implant Xray

After Dental Implant Xray















